Metatron hunter 4025 nls Supplier

Blog

» Blog

Stress and Anxiety Analysis with Metatron Hunter 4025 NLS

October 9, 2025

Modern healthcare demands advanced diagnostic solutions for comprehensive stress and anxiety assessment. The Metatron Hunter 4025 NLS represents cutting-edge technology in non-linear analysis systems, offering healthcare professionals unprecedented insights into patients’ mental and physiological stress markers. This advanced diagnostic tool enables precise evaluation of stress factors, anxiety patterns, and their physiological manifestations—all through non-invasive biofeedback technology.

Metatron Hunter 4025 NLS Metatron Hunter 4025 NLS device Metatron NLS System Metatron Hunter 4025 NLS Immunoassay System Type Metatron Hunter 4025 NLS Body composition analyzer nls Spectrum of Minerals Metatron Nls 4025 Huntermetatron 4025

metatron 4025

Metatron Hunter 4025 NLS

metatron 4025

metatron 4025

metatron 4025

metatron 4025

Understanding Stress & Anxiety with Metatron Hunter 4025 NLS

Metatron Hunter 4025 NLS-Stress and anxiety represent complex physiological and psychological responses that manifest across multiple body systems. Traditional diagnostic approaches often struggle to capture the complete picture of how these conditions affect patients. The Metatron Hunter 4025 NLS system employs advanced biofeedback technology to detect subtle changes in the body’s electromagnetic field, providing a comprehensive analysis of stress-related biomarkers.

The system evaluates key stress indicators including:

  • Autonomic nervous system balance
  • Adrenal function and cortisol levels
  • Neurotransmitter activity patterns
  • Cardiovascular stress responses
  • Immune system reactivity
  • Sleep quality indicators

Metatron Hunter 4025 NLS

Discover Advanced Stress Analysis

Experience how the Metatron Hunter 4025 NLS can transform your practice’s approach to stress and anxiety assessment.

Request Product Information

How Metatron Hunter 4025 NLS‘s Biofeedback Works

The Metatron Hunter 4025 NLS utilizes non-linear system (NLS) technology to capture the body’s subtle electromagnetic oscillations. This advanced biofeedback mechanism works by detecting frequency patterns associated with various physiological states, particularly those related to stress and anxiety responses.

Biofeedback Component Function Stress/Anxiety Application
Magnetic Inductor Headphones Captures brain wave patterns and neural activity Identifies anxiety-related neural patterns
Frequency Resonance Detector Measures electromagnetic response to stimuli Evaluates autonomic nervous system reactivity
Bio-Inductor Module Analyzes tissue and cellular responses Detects physiological stress manifestations
Trigger Sensor Monitors real-time changes during assessment Tracks stress response dynamics

Metatron Hunter 4025 NLS biofeedback headphones in use

The system’s proprietary algorithms analyze these frequency patterns against an extensive database of over 10,000 health markers. For stress and anxiety assessment, the Metatron Hunter 4025 NLS specifically examines patterns associated with adrenal function, neurotransmitter activity, and autonomic nervous system balance—providing practitioners with comprehensive insights unavailable through conventional testing methods.

Key Features of Metatron Hunter 4025 NLS Analysis

3D organ visualization in Metatron Hunter 4025 NLS

Advanced Visualization

3D organ modeling with stress-affected areas highlighted for intuitive interpretation and patient education.

Metatron Hunter 4025 NLS

Comparative Analysis

Track changes in stress biomarkers over time to evaluate treatment efficacy and patient progress.

Treatment recommendation screen in Metatron Hunter 4025 NLS

Treatment Recommendations

AI-driven suggestions for stress management protocols based on individual patient assessment results.

+86-13-51090-74-01Contact our specialists for a personalized consultation

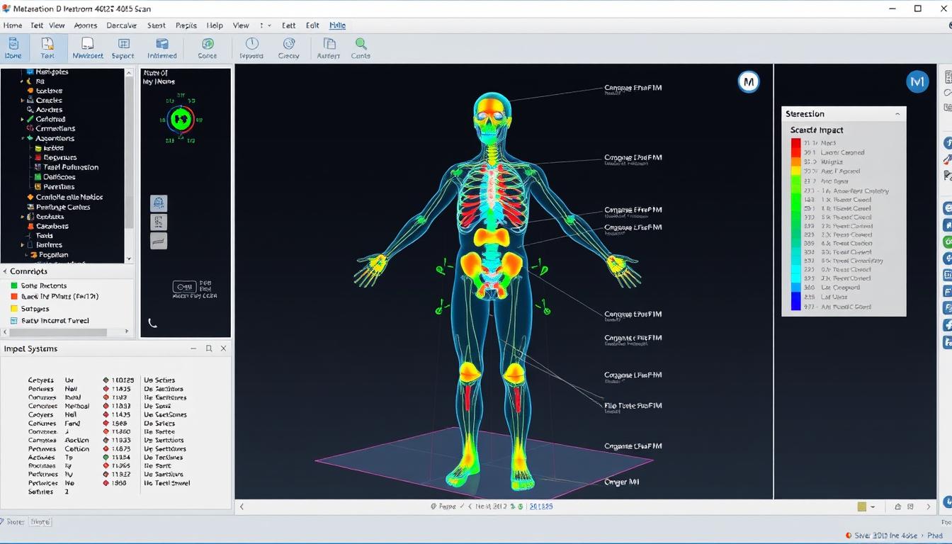
3D Body Scanning Technology

The Metatron Hunter 4025 NLS employs revolutionary 3D-Torsion Scanning technology that creates detailed three-dimensional models of the body’s organs and systems. This advanced visualization capability is particularly valuable for stress and anxiety analysis, as it allows practitioners to observe how stress manifests across different body systems.

3D body scan showing stress impact on multiple systems

Key Benefits of 3D Scanning for Stress Analysis:

  • Visualization of stress impact on multiple organ systems simultaneously
  • Identification of primary stress response patterns unique to each patient
  • Detection of subtle physiological changes before symptomatic manifestation
  • Comprehensive mapping of autonomic nervous system reactivity
  • Visual representation for enhanced patient understanding and compliance
4.8
Diagnostic Accuracy
Stress Pattern Recognition
4.8/5
Visualization Quality
4.7/5
Clinical Relevance
4.9/5

Experience Advanced 3D Visualization

See how the Metatron Hunter 4025 NLS can transform your understanding of patient stress patterns.

Schedule a Demonstration

Clinical Applications for Mental Health

The Metatron Hunter 4025 NLS offers specialized applications for mental health assessment, particularly in the domains of stress and anxiety evaluation. Its non-invasive approach makes it ideal for patients who may already be experiencing heightened stress, as the assessment process itself doesn’t contribute to additional anxiety.

Advantages Over Traditional Assessment

  • Non-invasive methodology requires no blood draws or uncomfortable procedures
  • Comprehensive evaluation in a single session (30-60 minutes)
  • Detects subclinical stress patterns before symptomatic presentation
  • Provides objective physiological data to complement subjective reporting
  • Allows for precise monitoring of treatment efficacy over time
  • Integrates physical and psychological stress markers for holistic assessment

Considerations

  • Requires trained operator for optimal results interpretation
  • Initial investment in equipment and training
  • Regular software updates recommended for database currency
  • Best results achieved when integrated with comprehensive care approach
  • Patient education important for understanding assessment value

Practitioner using Metatron Hunter 4025 NLS with patient

Clinical Application Assessment Capability Patient Benefit
Generalized Anxiety Disorder Autonomic nervous system imbalance detection Targeted treatment protocols based on physiological patterns
Chronic Stress Evaluation Adrenal function and cortisol rhythm analysis Early intervention before system exhaustion
PTSD Assessment Stress response pattern recognition Non-triggering evaluation methodology
Burnout Syndrome Multi-system stress impact visualization Objective validation of subjective experience
Treatment Monitoring Comparative analysis of stress markers over time Quantifiable progress metrics

Case Study: Anxiety Reduction Results

“Implementing the Metatron Hunter 4025 NLS in our practice has transformed our approach to anxiety assessment. The ability to visualize physiological stress patterns and track treatment progress objectively has significantly improved patient outcomes and treatment adherence.”

— Dr. Elizabeth Chen, Neuropsychiatrist

Before and after comparison of anxiety treatment results

In a clinical evaluation involving 48 patients with diagnosed anxiety disorders, the Metatron Hunter 4025 NLS was used to assess physiological stress markers before and after an 8-week treatment protocol. The system’s ability to detect subtle changes in autonomic nervous system function provided valuable insights into treatment efficacy that weren’t apparent through standard questionnaire-based assessments alone.

Key Findings:

  • 92% of patients showed measurable improvement in physiological stress markers
  • Treatment protocols could be adjusted based on individual response patterns
  • Patients reported increased confidence in treatment approach after viewing their scan results
  • Practitioners identified subtle stress patterns that modified treatment approaches
  • Follow-up retention improved by 37% compared to standard care protocols

Graph showing anxiety reduction metrics over treatment period

Transform Your Practice’s Approach to Anxiety Treatment

Join leading clinicians using the Metatron Hunter 4025 NLS to enhance patient outcomes.

Contact a Specialist Today

Technical Specifications

The Metatron Hunter 4025 NLS combines advanced hardware components with sophisticated software algorithms to deliver exceptional diagnostic capabilities for stress and anxiety analysis.

Specification Details
Analysis Accuracy 95-97% correlation with clinical findings
Scanning Technology 3D-Torsion Non-Linear Analysis System
Database Over 10,000 health markers with specialized stress indicators
Session Duration 30-60 minutes for comprehensive assessment
Software Compatibility Windows 7, 8, 8.1, 10 (32 & 64-bit)
Languages Supported English, Spanish, French, German, Russian, Chinese
Certification CE Certified, ISO 9001, FDA Registration
Warranty 2-year manufacturer warranty with extended options

Metatron Hunter 4025 NLS complete system components

FAQ About Metatron Hunter 4025 NLS

How does the Metatron Hunter 4025 NLS differ from traditional stress assessment tools?

Unlike questionnaire-based assessments or single-biomarker tests, the Metatron Hunter 4025 NLS provides comprehensive physiological analysis across multiple body systems simultaneously. It detects subtle electromagnetic changes associated with stress responses, offering objective data that complements subjective reporting. The system’s non-invasive approach also means patients can be assessed without the stress of blood draws or uncomfortable procedures.

What training is required to operate the system effectively?

Practitioners receive comprehensive training with purchase, typically requiring 2-3 days of instruction. The training covers hardware operation, software navigation, assessment protocols, and results interpretation. Ongoing support and advanced training options are available. Most healthcare professionals with basic computer literacy can become proficient users after the initial training period.

How often should patients undergo assessment for stress and anxiety monitoring?

Assessment frequency depends on the individual treatment plan. For acute stress or anxiety conditions, bi-weekly assessments may be beneficial during initial treatment phases. For maintenance and monitoring, monthly or quarterly assessments often provide sufficient data to track progress. The system allows for comparative analysis between sessions, making it valuable for long-term monitoring of stress management protocols.

Is the Metatron Hunter 4025 NLS covered by insurance for mental health assessment?

Insurance coverage varies by provider and region. Many practitioners successfully bill using general biofeedback or comprehensive assessment codes. Our support team can provide guidance on appropriate coding and documentation to maximize reimbursement potential. Many practices also offer the assessment as a premium service with direct patient payment.

Healthcare professional explaining Metatron Hunter 4025 NLS results to patient

Transform Your Approach to Stress and Anxiety Assessment

The Metatron Hunter 4025 NLS offers unprecedented insights into the physiological manifestations of stress and anxiety, enabling more precise diagnosis and treatment monitoring than ever before. With its non-invasive methodology, comprehensive analysis capabilities, and intuitive visualization tools, this advanced system represents the future of mental health assessment technology.

Ready to Elevate Your Practice?

Contact our specialists today to learn how the Metatron Hunter 4025 NLS can transform your approach to stress and anxiety assessment.





Contact us byWhatsApp Online:



metatron nls hunter contact whatsapp

Maybe you like also